´Å¹²Õñʵʱָµ¼·ÅÉäÖÎÁÆÍøÂç×êÑлá2022¼¾£¨¶þ£©
ÈËÉú¾ÍÊDz«(ZLKS)¼¯ÍÅΨһ¹Ù·½ÍøÕ¾Ò½ÁÆÆ÷еÃÀÖл¥ÀûÒ½ÁÆ
ÃÀ¹úÍþÈð¹«Ë¾/ViewRay Inc.
MRÖ¸µ¼·ÅÉäÖÎÁÆÔÚǰÏßÏÙÖеÄ×÷ÓÃ
Dr. Philip Camilleri
MRÖ¸µ¼·ÅÉäÖÎÁÆÔÚǰÏßÏÙÖеÄ×÷ÓÃ
-
ºÍºÉÀ¼°¢Ä·Ë¹Ìص¤µÄVUMCÒ½Ôº½¨ÉèÁËÇ×½üµÄÏàÖú
-
ʹÓþùÒ»¼ÁÁ¿£¬£¬£¬£¬£¬£¬Ôݲ»±Ø°ÐÇøÄÚͬ²½ÍÆÁ¿
-
ÔÚÿ¸ö·Ö´ÎÖÎÁÆÊ±¾ÙÐÐÔÚÏß×Ô˳ӦÓÅ»¯
-
²»ÔÚÖ±³¦ºÍǰÏßÏÙ¼äÖ²ÈëÄý½ºÍÑÀëÎSpacer£©
-
½Ï¶ÌµÄÖÎÁÆ×ÜÁÆ³Ì -
½ÏµÍµÄ¸±·´Ó¦ -
½ÏºÃµÄÄÍÊÜÐÔ

Dr. CamilleriÊ×ÏÈÏÈÈÝÁËGenesisCareÔÚMRIdianÉÏÖÎÁƲ¡ÖÖµÄÂþÑÜÇéÐΣ¬£¬£¬£¬£¬£¬ÆäÖÐǰÏßÏÙ°©ºÍÉϸ¹²¿Ö×ÁöΪÖ÷Òª²¡ÖÖ£¬£¬£¬£¬£¬£¬»®·Ö¸÷Õ¼45%ºÍ40%¡£¡£¡£¡£¡£¡£¡£

Figure 2?GenesisCareÔÚMRIdianÉÏÖÎÁƲ¡ÖÖµÄÂþÑÜÇéÐÎ
-
MRIÓ°Ïñ£ºÖ»¹ÜMRIdian³¡Ç¿Ö»ÓÐ0.35T£¬£¬£¬£¬£¬£¬µ«ÆäÄÜ»ñµÃÇåÎúµÄÕï¶Ï¼¶MRIÓ°Ïñ£¬£¬£¬£¬£¬£¬Ó°ÏñÖÊÁ¿½Ï¼Ñ¡£¡£¡£¡£¡£¡£¡£
-
ÖðÈÕ×Ô˳Ӧ£ºMRIdianÔÊÐíÓû§ÔÚÖðÈÕÖÎÁÆÊ±¾ÙÐÐMRIɨÃ裬£¬£¬£¬£¬£¬Òò´Ë¿ÉÒÔ¿´µ½Ö×ÁöºÍΣ¼°Æ÷¹Ù£¨OAR£©ÐµÄÐÎ×´ºÍλÖ㬣¬£¬£¬£¬£¬¿ÉÒԾݴËÀû±ãµØµ÷½âÂÖÀª¹´»ºÍÔÚÏß×Ô˳ӦÍýÏë¡£¡£¡£¡£¡£¡£¡£
-
×Ô¶¯×é֯׷×ÙºÍ×Ô¶¯ÃſسöÊø£ºMRIdianÁíÒ»¸öÆæÒìµÄÓÅÊÆÊÇÄÜÔÚMRIÓ°Ï·³ÉÏñϾÙÐÐ×Ô¶¯×é֯׷×ÙºÍ×Ô¶¯ÃſسöÊø£¬£¬£¬£¬£¬£¬ÕâÑù¾ÍÄܰü¹Ü½öµ±°ÐÇøÎ»ÓÚÕÕÉä´°ÄÚ£¬£¬£¬£¬£¬£¬ÏµÍ³²Å»á¾ÙÐгöÊø¡£¡£¡£¡£¡£¡£¡£
-
¹¦Ð§³ÉÏñ£ºMRIdian¿ÉÒÔÊÕÂÞ¹¦Ð§´Å¹²Õñ³ÉÏñ£¬£¬£¬£¬£¬£¬¿ÉÒÔÆÀ¹ÀÖ×Áö¶Ô·ÅÁƵķ´Ó¦¡£¡£¡£¡£¡£¡£¡£

ÁíÍ⣬£¬£¬£¬£¬£¬Dr. Camilleri»¹Õ¹Ê¾ÁËһλ÷ÅÊàŦÖû»ÊõºóǰÏßÏÙ»¼ÕßMRIdian 0.35T MRIÓ°ÏñºÍCT¶¨Î»Í¼Ïñ£¬£¬£¬£¬£¬£¬MRIdian MRIͼÏñÊܽðÊô÷ÅÊàŦ¼ÙÌåÓ°Ïì½ÏС£¬£¬£¬£¬£¬£¬ÈÔÄÜ¿´Çå°ÐÇøºÍËùÓÐΣ¼°Æ÷¹Ù£¬£¬£¬£¬£¬£¬¼ûFigure 5¡£¡£¡£¡£¡£¡£¡£ÒÔÊÇ£¬£¬£¬£¬£¬£¬ÈÔÈ»ÄÜΪ»¼ÕßÌṩÖðÈÕÔÚÏß×Ô˳Ӧ·ÅÁÆÍýÏ룬£¬£¬£¬£¬£¬µ«ÖµµÃ×¢ÖØµÄÊÇ£¬£¬£¬£¬£¬£¬ÉäÊø±ØÐè±Ü¿ª½ðÊô÷ÅÊàŦ£¬£¬£¬£¬£¬£¬¼ûFigure 6¡£¡£¡£¡£¡£¡£¡£

Figure 5?Dr. CamilleriչʾµÄ÷ÅÊàŦÖû»ÊõºóǰÏßÏÙ»¼ÕßMRIdian 0.35T MRIÓ°Ïñ£¨×󣩺ÍCT¶¨Î»Í¼Ïñ£¨ÓÒ£©£¬£¬£¬£¬£¬£¬MRIdian MRIͼÏñÊܽðÊô÷ÅÊàŦ¼ÙÌåÓ°Ïì½ÏС

Figure 6?MRIdian MRIͼÏñÊܽðÊô÷ÅÊàŦ¼ÙÌåÓ°Ïì½ÏС£¬£¬£¬£¬£¬£¬ÈÔÈ»ÄÜΪ»¼ÕßÌṩÖðÈÕÔÚÏß×Ô˳ӦÍýÏëµ÷½â
ͨ¹ýչʾһλ×ó²à¾«ÄÒÏÙ°©µÄÔʼÍýÏëºÍÖðÈÕ×Ô˳ӦÍýÏ룬£¬£¬£¬£¬£¬ÇåÎúÏÔʾÁ˰ÐÇøºÍΣ¼°Æ÷¹ÙÔÚÿ´Î·ÅÁÆÊ±¾ùÓнϴóת±ä£¬£¬£¬£¬£¬£¬Í¨¹ýMRIdianÔÚÏß×Ô˳Ӧ¹¦Ð§£¬£¬£¬£¬£¬£¬¿ÉÒÔÔڽϺéÁ÷ƽÉÏÐÞÕýÕâЩת±ä£¬£¬£¬£¬£¬£¬ÔÚ×öµ½¸øÓè°ÐÇø¸ß¼ÁÁ¿µÄͬʱ£¬£¬£¬£¬£¬£¬¾¡¿ÉÄܵÄïÔÌΣ¼°Æ÷¹ÙµÄ¼ÁÁ¿¡£¡£¡£¡£¡£¡£¡£
ÔÚʹÓÃMRIdianÒÔSABR·ÅÉäÏûÈÚ·½·¨ÖÎÁÆ»¼Õß²»¾Ãºó£¬£¬£¬£¬£¬£¬Ó¢¹ú¾ÍÔâÓöµ½ÁËйÚÒßÇ飬£¬£¬£¬£¬£¬µ¼Ö´ó×Ú·ÅÁÆÖÐÐÄËõ¼õ¡¢×èֹЧÀÍ£¬£¬£¬£¬£¬£¬ÉõÖÁ¹ØÍ£¡£¡£¡£¡£¡£¡£¡£GenesisCareÔÚÒßÇéʱ´úΪ¾ÍÕïµÄËùÓÐǰÏßÏÙ°©»¼Õߣ¬£¬£¬£¬£¬£¬¶¼¾ÙÐÐ5¸ö·Ö´ÎµÄSABR·ÅÉäÏûÈÚÖÎÁÆ¡£¡£¡£¡£¡£¡£¡£µÚÒ»ÄêʹÓõļÁÁ¿Ö§½âΪ36.25Gy/5F£¬£¬£¬£¬£¬£¬µÚ¶þÄêÉý¼¶Á˹æ³Ì£¬£¬£¬£¬£¬£¬ÔÚ±£»£»£»£»£»£»£»£»¤Î£¼°Æ÷¹ÙµÄ»ù´¡ÉÏ£¬£¬£¬£¬£¬£¬¸øÓè°ÐÇøÄÚͬ²½ÍÆÁ¿ÖÁCTV 40Gy/5F£¬£¬£¬£¬£¬£¬PTV 36.25Gy/5F¡£¡£¡£¡£¡£¡£¡£
¹ØÓÚΪǰÏßÏÙ°©»¼Õß¾ÙÐÐÉٷִδó¼ÁÁ¿µÄ·ÅÉäÏûÈÚ£¬£¬£¬£¬£¬£¬Dr. CamilleriÌṩÁË´ó×ÚÎÄÏ×ÒÀ¾Ý£¬£¬£¬£¬£¬£¬ÔÚ·ÅÉäÉúÎïѧÏßÐÔ¶þ´Î·½³ÌÄ£×ÓÖУ¬£¬£¬£¬£¬£¬Ç°ÏßÏÙ°©µÄ¦Á/¦ÂÖµºÜµÍ£¬£¬£¬£¬£¬£¬Ô¼Äª½öΪ1.4£¬£¬£¬£¬£¬£¬¼ûFigure 9¡£¡£¡£¡£¡£¡£¡£Ïà±ÈÆäËü¦Á/¦ÂÖµ½Ï¸ßµÄÖ×Áö£¬£¬£¬£¬£¬£¬¶ÔǰÏßÏÙ°©À´ËµÉٷִδó¼ÁÁ¿¾ßÓиü¸ßµÄÖ×Áöϸ°ûɱÉËÁ¦¡£¡£¡£¡£¡£¡£¡£

Figure 9?ǰÏßÏÙ°©µÄ¦Á/¦ÂÖµ
¾Í·ÅÉäÏûÈÚÖÎÁÆÏà±ÈͨÀýÖ§½âµÄÁÙ´²Ð§¹û£¬£¬£¬£¬£¬£¬ÏÖÔÚÖ÷ÒªÓÐÁ½¸öÁÙ´²ÊÔÑ飬£¬£¬£¬£¬£¬Ò»¸öÊÇHYPO-RT-PC£¬£¬£¬£¬£¬£¬ÁíÒ»¸öÊÇPACE-B£¬£¬£¬£¬£¬£¬ÕâÁ½¸öÁÙ´²ÊÔÑé¾ùÅú×¢·ÅÉäÏûÈÚ²»ÁÓÓÚͨÀýÖ§½â¡£¡£¡£¡£¡£¡£¡£
Figure 10?ǰÏßÏÙ°©µÄ·ÅÉäÏûÈÚÁÙ´²Ñо¿£ºHYPO-RT-PCºÍPACE-B
ÔÚKishan½ÒÏþµÄ¹ØÓںϲ¢SBRTµÄÑо¿ÖУ¬£¬£¬£¬£¬£¬ËѼ¯ÁË12Ïîµ¥×é¶þÆÚÑо¿£¬£¬£¬£¬£¬£¬Èë×éÁË2000¶àÃû»¼Õߣ¬£¬£¬£¬£¬£¬Ð§¹û֤ʵ£¬£¬£¬£¬£¬£¬·ÅÉäÏûÈÚÔÚïÔÌ·ÅÁƶ¾ÐÔÉÏÓÐÏÔ×ŵÄÓÅÊÆ¡£¡£¡£¡£¡£¡£¡£ÁíÍ⣬£¬£¬£¬£¬£¬ºÉÀ¼°¢Ä·Ë¹Ìص¤½ÒÏþµÄMRIdian´Å¹²ÕñÖ¸µ¼Ç°ÏßÏÙ°©·ÅÉäÏûÈÚÖÎÁƵ¥×é¶þÆÚÑо¿Åú×¢£¬£¬£¬£¬£¬£¬MRIdianÄÜÓиüºÃµÄÔ¤ºó¡£¡£¡£¡£¡£¡£¡£

Figure 11 ǰÏßÏÙ°©µÄ·ÅÉäÏûÈÚÁÙ´²Ñо¿£ºKishanµÄ»ã×ÜÑо¿ºÍ´Å¹²ÕñÖ¸µ¼·ÅÉäÖÎÁƵÄÑо¿

Figure 12 ǰÏßÏÙ°©µÄ·ÅÉäÏûÈÚÁÙ´²Ñо¿£ºKishanºÍUCLA¾ÙÐеÄMIRAGEÁÙ´²ÊÔÑé
?MRIdian´Å¹²ÕñÖ¸µ¼·ÅÉäÖÎÁƵķÅÁÆÍýÏëºÍÂÖÀª¹´»
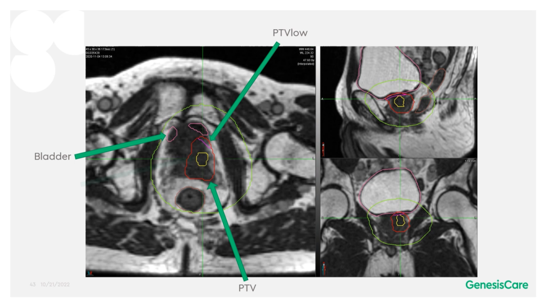
Dr. CamilleriÌåÏÖ£¬£¬£¬£¬£¬£¬ËûÃÇÔÚ×öÔÚÏß×Ô˳Ӧ·ÅÁƵÄʱ¼ä£¬£¬£¬£¬£¬£¬ÎªÁËÌá¸ßËÙÂÊ£¬£¬£¬£¬£¬£¬½ö¶Ô°ÐÇøÍâ·Å3cmÒÔÄÚµÄΣ¼°Æ÷¹ÙµÄת±ä¾ÙÐÐ×Ô˳Ӧµ÷½â»òÖØÐ¹´»ÂÖÀª£¬£¬£¬£¬£¬£¬¼ûFigure 13¡£¡£¡£¡£¡£¡£¡£ÕâÑù¿ÉÒÔËõ¶ÌÂÖÀª¹´»µÄʱ¼ä¡£¡£¡£¡£¡£¡£¡£¹ØÓÚ·ÅÁÆÍýÏ룬£¬£¬£¬£¬£¬Ê¹µÃ95%µÄ°ÐÇøÌå»ý½ÓÊܵ½100%µÄ´¦·½¼ÁÁ¿ÁýÕÖ£¬£¬£¬£¬£¬£¬²¢½«×î´ó¼ÁÁ¿ÏÞÖÆÎª2%µÄ°ÐÇøÌå»ý²»Áè¼Ý´¦·½¼ÁÁ¿µÄ110%£¬£¬£¬£¬£¬£¬ÕâÑù¾ÍÄܰü¹ÜÔÚͼÏñÉϺÜÄÑÏÔʾµÄÄòµÀ²»»á³¬Á¿£¬£¬£¬£¬£¬£¬¼ûFigure 14¡£¡£¡£¡£¡£¡£¡£ÁíÍ⣬£¬£¬£¬£¬£¬ÔÚÖÆ×÷·ÅÁÆÍýÏëʱ£¬£¬£¬£¬£¬£¬½«PTV·ÖΪPTV LOWºÍPTV High£¬£¬£¬£¬£¬£¬PTVºÍΣ¼°Æ÷¹ÙÖØµþµÄ²¿·ÖΪPTV LOW£¬£¬£¬£¬£¬£¬½«PTV LOWµÄ¼ÁÁ¿Ä¿µÄÉ趨ÔÚΣ¼°Æ÷¹ÙµÄÄÍÊܼÁÁ¿ÒÔÏ£¬£¬£¬£¬£¬£¬ÕâÑù¾ÍÄܰü¹ÜΣ¼°Æ÷¹Ù²»³¬Á¿£¬£¬£¬£¬£¬£¬¼ûFigure 15¡£¡£¡£¡£¡£¡£¡£

?ǰÏßÏÙ°©ÖðÈÕÔÚÏß×Ô˳ӦÍýÏëµ÷½âµÄÒâÒå
ǰÏßÏÙ°©·ÅÁÆÊ±ÈôʹÓÃÔÍýÏëµÄ¼ÁÁ¿ÂþÑÜ£¬£¬£¬£¬£¬£¬»áÓнϴóÇ·Á¿Çø£¬£¬£¬£¬£¬£¬¿ÉÒÔͨ¹ýMRIdianÔÚÏß×Ô˳ӦÓÅ»¯Ä£¿£¿£¿£¿£¿£¿£¿éÀû±ãµØ¸ÄÉÆÇ·Á¿¡£¡£¡£¡£¡£¡£¡£

Figure 16ǰÏßÏÙ°©·ÅÁÆÊ±ÈôʹÓÃÔÍýÏëµÄ¼ÁÁ¿ÂþÑÜ£¬£¬£¬£¬£¬£¬ÓнϴóÇ·Á¿Çø£¨×󣩣»£»£»£»£»£»£»£»ÔÚÏßÓÅ»¯ºóµÄ¼ÁÁ¿ÂþÑÜ£¬£¬£¬£¬£¬£¬ÎÞÇ·Á¿Çø£¨ÓÒ£©
?ǰÏßÏÙ°©·Ö´ÎÄÚÔ˶¯ÖÎÀí

?ǰÏßÏÙ°©·Ö´Î¼äÔ˶¯ÖÎÀí
Dr. CamilleriÌåÏÖǰÏßÏÙ·ÅÁƵķִμ䣬£¬£¬£¬£¬£¬Ç°ÏßÏÙµÄÒÆ¶¯¶È²»Ëã´ó£¬£¬£¬£¬£¬£¬µ«¾«ÄÒÏÙµÄÒÆ¶¯¶È½Ï´ó£¬£¬£¬£¬£¬£¬¿ÉÒÔµÖ´ï5mm×óÓÒ£¬£¬£¬£¬£¬£¬Í¨¹ýMRIdianÖðÈÕÔÚÏß×Ô˳ӦÍýÏëµ÷½â¿ÉÒÔÐÞÕýÕâЩÔ˶¯¡£¡£¡£¡£¡£¡£¡£

Figure 18?ǰÏßÏÙ·ÅÁƵķִμ䣬£¬£¬£¬£¬£¬Ç°ÏßÏÙµÄÒÆ¶¯¶È²»Ëã´ó£¬£¬£¬£¬£¬£¬µ«¾«ÄÒÏÙµÄÒÆ¶¯¶È½Ï´ó
Ö»¹ÜǰÏßÏÙ°©µÄ·ÅÁÆÁÆÐ§½ÏºÃ£¬£¬£¬£¬£¬£¬µ«Òź¶µÄÊÇÈÔÓÐ30-50%µÄ»¼ÕßÅöÃæÁÙ¸´·¢£¬£¬£¬£¬£¬£¬ÇÒ20-30%µÄ»¼ÕßΪǰÏßÏÙ°ÐÇøÄÚ¸´·¢£¬£¬£¬£¬£¬£¬¶ø¸´·¢µÄ»¼Õß½ö½öÓÐ2%½ÓÊÜÁ˽øÒ»²½µÄ¾Ö²¿Õü¾ÈÐÔÖÎÁÆ£¬£¬£¬£¬£¬£¬ÀýÈçÕü¾ÈÐÔǰÏßÏÙÇгýÊõ¡¢³¬Éùµ¶»òÕßÊÇÀä¶³ÖÎÁÆ¡£¡£¡£¡£¡£¡£¡£´ó²¿·Ö»¼ÕßµÄÖÎÁƼƻ®ÊÇÖÕÉíÐÛ¼¤ËØ×è¶ÏÁÆ·¨£¬£¬£¬£¬£¬£¬¶øÕâÖÖÁÆ·¨ÍùÍù»á´øÀ´Ò»Ð©ÑÏÖØµÄ¸±×÷Ó㬣¬£¬£¬£¬£¬»áÇÐʵӰÏìµ½»¼ÕßµÄÉúÑÄÖÊÁ¿¡£¡£¡£¡£¡£¡£¡£Ö»ÓкÜÊÇרҵµÄÒ½Ôº²Å»ª¾ÙÐоֲ¿Õü¾ÈÐÔÖÎÁÆ¡£¡£¡£¡£¡£¡£¡£
GenesisCareÖÆ¶©ÁËÆä¶ÔǰÏßÏÙ°©·ÅÁƺ󸴷¢µÄ´Å¹²ÕñÖ¸µ¼ÔٴηÅÁƵĹæ³Ì£¬£¬£¬£¬£¬£¬°üÀ¨Ê¹Óöà²ÎÊýMRIͼÏñºÍPSMA PETͼÏñ£¬£¬£¬£¬£¬£¬ÒªÇó¾ÙÐлî¼ì֤ʵ£¬£¬£¬£¬£¬£¬»¹»áʵÑé°²ÅÅÖ±³¦-ǰÏßÏÙ×è¸ôÄý½º¡£¡£¡£¡£¡£¡£¡£Æ¾Ö¤Ó°ÏñºÍ»î¼ìµÄÇéÐΣ¬£¬£¬£¬£¬£¬¶ÔǰÏßÏÙËùÓÐÏÙÌå»ò²¿·ÖÏÙÌå¾ÙÐÐ30-35Gy/5´ÎµÄ·ÅÉäÏûÈÚÖÎÁÆ¡£¡£¡£¡£¡£¡£¡£×èÖ¹2022Äê11Ô·ݣ¬£¬£¬£¬£¬£¬GenesisCareÓ¢¹úÒѾÔÚMRIdianÉÏÖÎÁÆÁË12Àý¸´·¢µÄ»¼Õߣ¬£¬£¬£¬£¬£¬¾ùÔÚÖ±³¦ºÍǰÏßÏÙÖ®¼ä°²ÅÅ×è¸ôÄý½º£¬£¬£¬£¬£¬£¬ÎÞ¢ñ¶ÈÒÔÉϵÄÏû»¯µÀGI¶¾ÐÔ£¬£¬£¬£¬£¬£¬ÓÐ4Ãû»¼ÕßÓТñ¶ÈÃÚÄòµÀGU¶¾ÐÔ£¬£¬£¬£¬£¬£¬7Ãû»¼ÕßΪ¢ò¶ÈGU¶¾ÐÔ¡£¡£¡£¡£¡£¡£¡£
Dr. CamilleriÏÈÈÝÁËһλ72Ë꣬£¬£¬£¬£¬£¬ÔÚ2006Äê½ÓÊÜÁË55Gy/20F·ÅÁƺ󸴷¢µÄǰÏßÏÙ°©»¼Õß¡£¡£¡£¡£¡£¡£¡£ÆäʱËüµÄPSAΪ28£¬£¬£¬£¬£¬£¬¾Ö²¿ÍíÆÚ£¬£¬£¬£¬£¬£¬ÆÚ±ðΪT3aN0M0¡£¡£¡£¡£¡£¡£¡£PET-CTÏÔʾǰÏßÏÙ×óºó²¿¾Ö²¿¸ß´úл£¬£¬£¬£¬£¬£¬»î¼ìҲ֤ʵÁËÕâÒ»µã£¬£¬£¬£¬£¬£¬²¢ÇÒ»î¼ìЧ¹ûÅú×¢Ö×ÁöÇÖÈë×ó²à¾«ÄÒÏٵײ¿¡£¡£¡£¡£¡£¡£¡£½«ÆäMRIdian MRIͼÏñºÍPET-CTͼÏñÈںϺ󣬣¬£¬£¬£¬£¬ÔÙÆ¾Ö¤»î¼ìЧ¹ûÈ·¶¨°ÐÇø£¬£¬£¬£¬£¬£¬¼ûFigure 20-22£¬£¬£¬£¬£¬£¬²¢ÖÆ×÷·ÅÁÆÍýÏë¡£¡£¡£¡£¡£¡£¡£·ÅÁƼÁÁ¿Îª35Gy/5´Î£¬£¬£¬£¬£¬£¬Äý½º×è¸ôÎïºÜºÃµØ°üÀ¨ÁËÖ±³¦£¬£¬£¬£¬£¬£¬¼ûFigure 23£¬£¬£¬£¬£¬£¬°ÐÇøºÍΣ¼°Æ÷¹ÙÊÜÁ¿¼ûFigure 24¡£¡£¡£¡£¡£¡£¡£»£»£»£»£»£»£»£»¼ÕßÓÚ2020Äê12Ô½ÓÊÜÖÎÁÆ£¬£¬£¬£¬£¬£¬ËûÌåÖʺܺ㬣¬£¬£¬£¬£¬ÔÚ·ÅÁÆÊ±´úºÍÖ®ºó£¬£¬£¬£¬£¬£¬¼á³ÖÿÖÜÈý´Î5¹«ÀïÅܲ½£¬£¬£¬£¬£¬£¬Ê¼ÖÕδ·ºÆðGUºÍGI¶¾ÐÔ¡£¡£¡£¡£¡£¡£¡£ËûµÄPSA×îµÍֵΪ0.45£¬£¬£¬£¬£¬£¬ÔÚ2022Äê5ÔµÄËæ·ÃÊý¾ÝÖУ¬£¬£¬£¬£¬£¬ØºÍè¼¤ËØË®Æ½»Øµ½ÁËÕý³£µÄ33%¡£¡£¡£¡£¡£¡£¡£ÔÚ2022Äê1ÔµķÅÁƺóPSMA PETµÄͼÏñÉÏ£¬£¬£¬£¬£¬£¬Î´¼ûÖ×Áö¸ß´úл¼ûFigure 25¡£¡£¡£¡£¡£¡£¡£




Figure 23?·ÅÁƺ󸴷¢µÄǰÏßÏÙ°©»¼ÕßÔÚMRIdianÉϵķÅÁÆÍýÏë

Figure 24?·ÅÁƺ󸴷¢µÄǰÏßÏÙ°©»¼Õß·ÅÁÆÍýÏëÖаÐÇøºÍΣ¼°Æ÷¹ÙµÄÊÜÁ¿

Dr CamilleriÌåÏÖÔÚǰÏßÏÙ°©ÉÏ·ÅÉäÏûÈÚÖÎÁÆÓÐÏÔ×ÅÓÅÊÆ£¬£¬£¬£¬£¬£¬ÏÖÓÐÊý¾ÝÒ²ÄÜÖ§³Ö·ÅÉäÏûÈÚÖÎÁƶÔÖÎÁÆÇ°ÏßÏÙ°©¹Ñ×ªÒÆµÄÓÅÊÆ¡£¡£¡£¡£¡£¡£¡£Dr CamilleriÏÈÈÝÁËһλÔÚ2015Äê×öÁËǰÏßÏÙÇгýÊõµÄ»¼Õߣ¬£¬£¬£¬£¬£¬ÔÚ2020Äê·¢Ã÷PSAÉý¸ß£¬£¬£¬£¬£¬£¬PSMA PETɨÃèЧ¹ûÏÔʾÓиöÖ±³¦ÏµÄ¤ÁÜͶºÏ×ªÒÆ£¬£¬£¬£¬£¬£¬²¡Ôî½ô¿¿Ö±³¦¡£¡£¡£¡£¡£¡£¡£ÔÚMRIdianÉÏʹÓÃÔÚÏß×Ô˳ӦÊÖÒÕ¡¢×Ô¶¯Ö×Áö×·×ÙºÍ×Ô¶¯ÃſسöÊøÊÖÒÕ£¬£¬£¬£¬£¬£¬·ÅÉäÏûÈÚÖÎÁƺÜÀֳɣ¬£¬£¬£¬£¬£¬»¼ÕßÍê³ÉÖÎÁÆÈ·µ±Ìì¾ÍÈ¥¶È¼ÙÁË£¬£¬£¬£¬£¬£¬Ã»Ó㦵À¸±×÷Óᣡ£¡£¡£¡£¡£¡£SABRÖÎÁƺ󣬣¬£¬£¬£¬£¬ËûµÄPSAˮƽҲ½µÏÂÀ´ÁË¡£¡£¡£¡£¡£¡£¡£


Figure 27?ǰÏßÏÙ°©ÊõºóÁÜͶºÏ×ªÒÆ»¼ÕߵĵÚÒ»´ÎÖÎÁƺ͵ڶþ´ÎÖÎÁƵÄÔÚÏß×Ô˳Ӧ·ÅÁÆÍýÏë
Figure 28?ǰÏßÏÙ°©Five or Two(FORT)ÁÙ´²Ñо¿ÏÈÈÝ
GenesisCare¾ÙÐÐ×¼±¸Five or Two(FORT)ÁÙ´²Ñо¿µÄ¼ÁÁ¿Ö§½âģʽÈçÏ£º
-
PTV 37.5Gy£¨°ÐÇøÄÚ¿ÉÄÜͬ²½¼ÓÁ¿ÖÁ45Gy£©/5¸ö·Ö´Î/¸ôÈÕÖÎÁÆ£¬£¬£¬£¬£¬£¬10ÌìÄÚÍê³ÉÁƳÌ
-
PTV 25Gy£¨°ÐÇøÄÚ¿ÉÄÜͬ²½¼ÓÁ¿ÖÁ28Gy£©/2¸ö·Ö´Î£¬£¬£¬£¬£¬£¬6ÌìÄÚÍê³ÉÁƳÌ

Figure 29?ǰÏßÏÙ°©Five or Two(FORT)ÁÙ´²Ñо¿¼ÁÁ¿Ö§½âģʽ
ÃÀÖл¥ÀûÒ½ÁÆÓÐÏÞ¹«Ë¾ÊÇÈËÉú¾ÍÊDz«(ZLKS)¼¯ÍÅΨһ¹Ù·½ÍøÕ¾Ò½Ò©Ò½ÁÆÆ÷еÊÂÒµ²¿£¨ÈËÉú¾ÍÊDz«(ZLKS)¼¯ÍÅΨһ¹Ù·½ÍøÕ¾Ò½ÁÆÆ÷е£©µÄʵÌ廯ÔËӪƽ̨£¬£¬£¬£¬£¬£¬Ê¼ÖÕÖÂÁ¦ÓÚÖйúÒ½ÁÆÆ÷еµÄÉú³¤¡£¡£¡£¡£¡£¡£¡£×÷Ϊһ¼ÒÏȽøÒ½ÁÆ×°±¸µÄ¹©Ó¦É̺ÍÖйúÒ½ÁÆÆ÷еÐÐÒµ¼ùÐÐÕߣ¬£¬£¬£¬£¬£¬×¨×¢ÎªÈ«ÇòÒ½ÁÆ¿µ½¡ÁìÓòÌṩ¸ßÖÊÁ¿µÄÒ½ÁÆ¿µ½¡Ïà¹Ø¿Æ¼¼¡¢²úÆ·¼°Ð§ÀÍ£¬£¬£¬£¬£¬£¬Á¢Ö¾ÓÚ³ÉΪȫÇòÁ¢ÒìÒ½ÁÆÆ÷еºÍÊÖÒÕÌṩÕßµÄÕ½ÂÔÏàÖúͬ°é¡£¡£¡£¡£¡£¡£¡£
¹«Ë¾ÎªÈ«ÇòÁ¢ÒìµÄÒ½ÁÆÊÖÒÕºÍÒ½ÁÆÆ÷ÐµÖÆÔìÉÌÌṩÁËÒ»¸öÆæÒìµÄÈ«·½Î»ÓªÏúƽ̨¡£¡£¡£¡£¡£¡£¡£×¨ÒµÓÅÊÆº¸ÇÁ˲úÆ·×¢²á¡¢Êг¡ÓªÏú¡¢ÁÙ´²¿ÆÑС¢ÊÛºóЧÀÍ¡¢ÉÌÎñÏàÖú¡¢ÎïÁ÷²Ö´¢µÈ¡£¡£¡£¡£¡£¡£¡£
ÏÖÔÚ¹«Ë¾ÓªÏúÓªÒµ¾Û½¹¹Ç¿Æ¡¢Éñ¾¡¢Ö×Áö¾«×¼ÖÎÁÆ¡¢Ò½ÃÀÒ½½Ì¡¢Ò½ÁƺIJĵȽ¹µãÈüµÀ¡£¡£¡£¡£¡£¡£¡£
ÃÀ¹úÍþÈð¹«Ë¾ÒÀÍÐÏȽø¿Æ¼¼´´Á¢ÁËMRIdianϵͳ£º[2]
-
×°»úÊýÄ¿¶à¡ª¡ª54Ì×ϵͳ±é²¼È«Çò¾«×¼·ÅÉäÖÎÁÆÖÐÐÄ
-
»¼ÕßÊýÄ¿¶à¡ª¡ªÒÑΪȫÇòÁè¼Ý2.7ÍòÃû²¡»¼´øÀ´¿µ½¡
-
˳Ӧ֢ÆÕ±é¡ª¡ª¿ÉÒÔÁýÕÖÔ¼65ÖÖÖ×ÁöÁÙ´²Ë³Ó¦Ö¢
MRIdian´Å¹²ÕñÖ¸µ¼·ÅÉäÖÎÁÆÏµÍ³µÄÊÖÒÕÓÅÊÆ

È«ÐÂÊÓÒ°
¸ßÇåÎúʵʱ¿ÉÊÓ»¯ÏÔʾÖ×Áö½çÏß¼°ÖÜΧÔàÆ÷
ÍêÉÆËÜÐÎ
ƾ֤ÌìÌìÖÎÁưÐÇøµÄÆÊ½âת±ä×Ô¶¯µ÷½â¼Æ»®
¾«×¼¹¥»÷
ÒÔ×Ô¶¯Èí×éÖ¯´Å¹²Õñ³ÉÏñÖ¸µ¼ÉäÏß×·×ÙÖÎÁÆ
ͨÓûú·¿
ÎÞÐèÖØ´óˢм´¿ÉÔÚÏÖÓмÓËÙÆ÷»ú·¿ÄÚ×°ÖÃ
ÉùÃ÷£º±¾ÎÄÊÇÆ¾Ö¤Dr Philip CamilleriµÄÊÓÆµ·ÒëÕûÀíµÄÄÚÈÝ£¬£¬£¬£¬£¬£¬½ö´ú±íDr Philip CamilleriµÄСÎÒ˽¼Ò¿´·¨£¬£¬£¬£¬£¬£¬½ö¹©²Î¿¼£¬£¬£¬£¬£¬£¬ÈôÓÐÎÊÌâÇëÁªÏµÐ¡±à¡£¡£¡£¡£¡£¡£¡£Dr Philip CamilleriµÄÔÄÚÈÝÇë²Î¿¼ÉÏÃæµÄÊÓÆµ¡£¡£¡£¡£¡£¡£¡£
Êý¾ÝȪԴ£º
[1]ȪԴÓÚBioSpace¹Ù·½ÍøÕ¾
[2]ȪԴÓÚÃÀ¹úÍþÈð¹«Ë¾ÌṩµÄÊý¾Ý
Ïà¹ØÔĶÁ
CHINDEX
-
´Å¹²Õñʵʱָµ¼·ÅÉäÖÎÁÆÍøÂç×êÑлá2022¼¾
-
Ö±»÷½ø²©»á£¬£¬£¬£¬£¬£¬¿¹°©¡°ºÚ¿Æ¼¼¡±ÕýʽÉÏÊÐ
-
È«ÇòÁìÏȵÄMRIdian´Å¹²ÕñÖ¸µ¼·ÅÉäÖÎÁÆÏµÍ³ÔÚÖйú»ñÅúÉÏÊУ¬£¬£¬£¬£¬£¬½«Îª¸ü¶àÖйú°©Ö¢»¼ÕßÌṩ·ÅÉäÖÎÁÆÐÂÑ¡Ôñ
-
MD°²µÂɰ©Ö¢ÖÐÐÄÑ¡ÔñViewRay½øÒ»²½ÍØÕ¹´Å¹²ÕñÖ¸µ¼·ÅÉäÖÎÁÆÁÙ´²Ó¦ÓÃ
-
Ö²ÈëÐÄÂÉÖÎÀí×°ÖõϼÕßÔõÑùÖ´ÐдŹ²ÕñÖ¸µ¼·ÅÉäÖÎÁÆ
-
¡¾ÍØÕ¹ÔĶÁ¡¿MRIdian´Å¹²ÕñÖ¸µ¼·ÅÉäÖÎÁÆÏµÍ³¸Ä±äǰÏßÏÙ°©·ÅÉäÖÎÁƵÄģʽ
-
´Å¹²Õñʵʱָµ¼·ÅÉäÖÎÁÆÍøÂç×êÑлá2021¼¾ -
ºË´ÅÖ¸µ¼·ÅÉäÖÎÁÆÏßÉÏÎÀÐÇ»á2021¼¾µÚÒ»ÆÚ
-
ºË´ÅÖ¸µ¼·ÅÉäÖÎÁÆÍøÂç×êÑлá2021¼¾µÚ¶þÆÚ

18101131600






